Bruxismo



Bruxismo: Entendiendo y Tratando el Rechinar de Dientes en Coves de Vinroma, en el Interior de Castellón
En clínica dental Miguel Sorli, reconocemos la importancia de abordar problemas dentales que afectan la calidad de vida de nuestros pacientes. El bruxismo es uno de estos problemas y estamos aquí para explicarte en qué consiste y cómo nuestro equipo puede ayudarte a manejarlo.
¿Qué es el Bruxismo?
El bruxismo es una condición en la cual una persona aprieta o rechina los dientes de manera inconsciente, a menudo durante la noche. Esta acción puede ejercer una presión significativa sobre los dientes, las mandíbulas y los músculos faciales, causando una serie de problemas dentales y de salud.
Síntomas Comunes del Bruxismo:
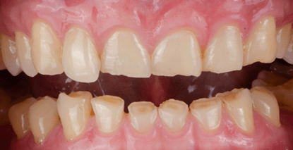
- Desgaste Dental: El rechinar constante puede llevar al desgaste excesivo de los dientes, debilitándolos y causando sensibilidad.
- Dolor en la Mandíbula y Cabeza: El bruxismo puede causar dolor en la mandíbula, la cara y la cabeza, a menudo asociado con dolores de cabeza matutinos y ruidos articulares.
- Sensibilidad Muscular: Los músculos faciales pueden volverse tensos y dolorosos debido a la presión constante durante el bruxismo.
- Trastornos del Sueño: El rechinar de dientes puede interrumpir el sueño, causando fatiga y problemas de concentración durante el día.
Tratamiento del Bruxismo en Clínica dental Miguel Sorlí:
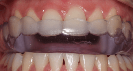
- Férulas de Descarga: Creamos férulas de descarga personalizadas para proteger los dientes durante la noche y reducir la presión sobre las mandíbulas.
- Terapia de Relajación: Ofrecemos técnicas de relajación y ejercicios para ayudar a aliviar la tensión muscular asociada con el bruxismo.
- Revisión de la Oclusión: Evaluamos la oclusión dental para determinar si ajustes en la mordida pueden ser beneficiosos en el tratamiento del bruxismo.
Por Qué Elegir Nuestros Servicios para el Bruxismo:
- Enfoque Personalizado: Cada paciente es único, y adaptamos nuestros tratamientos para abordar las necesidades específicas de cada caso de bruxismo.
- Prevención de Daños: Nuestro objetivo es prevenir el desgaste dental y otros problemas asociados con el bruxismo, preservando la salud y la estética dental.
- Colaboración con el Paciente: Trabajamos estrechamente contigo para entender las posibles causas del bruxismo y desarrollar estrategias para reducirlo.
Recupera el Bienestar de tus Dientes y Mandíbulas:
Si experimentas síntomas de bruxismo, es fundamental abordar la condición para prevenir daños a largo plazo. En Clínica dental Miguel Sorlí, estamos aquí para ofrecerte soluciones personalizadas en la zona del interior de Castellón. ¡Programa una consulta y descubre cómo podemos ayudarte a recuperar la salud dental y mejorar tu calidad de vida!

