Blanqueamiento



Blanqueamiento Dental en Coves de Vinroma, en la Zona del Interior de Castellón: Resalta la Belleza de tu Sonrisa con Resultados Profesionales y Personalizados
En Clínica dental Miguel Sorlí, entendemos que una sonrisa blanca y brillante puede tener un impacto significativo en tu confianza y bienestar. Es por eso que ofrecemos servicios de blanqueamiento dental de alta calidad para nuestros pacientes en Coves de Vinroma y sus alrededores.
¿Qué es el Blanqueamiento Dental?
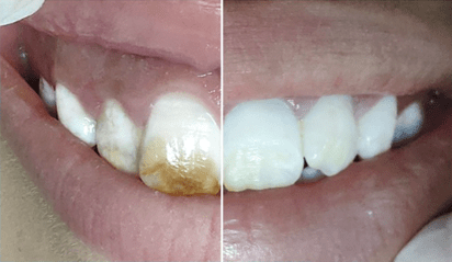
El blanqueamiento dental es un procedimiento cosmético diseñado para aclarar el color de los dientes y mejorar la luminosidad de la sonrisa. Con el tiempo, los dientes pueden adquirir manchas o decoloraciones debido a factores como el consumo de café, té, vino tinto, tabaco y el envejecimiento. El blanqueamiento dental es una solución segura y efectiva para revertir estas manchas y devolver a los dientes su tono natural.
Nuestros Servicios de Blanqueamiento Dental:
- Blanqueamiento en Consultorio: Realizamos tratamientos de blanqueamiento profesional en la clínica, utilizando agentes blanqueadores de alta potencia y tecnología avanzada para obtener resultados rápidos y notables.
- Blanqueamiento en Casa: Proporcionamos kits de blanqueamiento personalizados para su uso en casa. Estos kits incluyen bandejas de blanqueamiento hechas a medida y geles blanqueadores de fuerza controlada, permitiéndote blanquear tus dientes cómodamente en casa bajo la supervisión de nuestro equipo.
- Asesoramiento Personalizado: Antes de comenzar cualquier tratamiento, realizamos una evaluación completa de tus dientes y encías para determinar la causa de la decoloración y recomendar el enfoque más efectivo y seguro.
Ventajas de Elegir Nuestro Blanqueamiento Dental:
- Resultados Profesionales: Nuestro equipo cuenta con experiencia en proporcionar resultados de blanqueamiento dental seguros y efectivos, garantizando una sonrisa más brillante y saludable.
- Personalización: Adaptamos cada tratamiento de blanqueamiento a las necesidades y preferencias individuales de cada paciente, asegurando resultados naturales y uniformes.
- Supervisión Profesional: Ya sea que elijas el blanqueamiento en consultorio o en casa, nuestro equipo te proporcionará la supervisión necesaria para garantizar un tratamiento seguro y exitoso.
Recupera la Luminosidad de tu Sonrisa:
Si deseas revitalizar la apariencia de tu sonrisa y eliminar manchas o decoloraciones, el blanqueamiento dental es la solución perfecta. Programa una consulta para discutir tus objetivos estéticos y descubre cómo podemos personalizar un tratamiento de blanqueamiento que resalte la belleza natural de tu sonrisa.
En Clínica dental Miguel Sorlí, nos apasiona ayudarte a lograr la sonrisa radiante que siempre has deseado. ¡Esperamos darte la bienvenida pronto a nuestra clínica en Coves de Vinroma!

